With advanced technology, exceptional clinical expertise, and a deep understanding of your goals, our Mountain Wellness Dentistry team delivers smile transformations that feel as incredible as they look. Discover how we can turn the smile of your dreams into reality.
Most people are great candidates for dental implants! You qualify if:
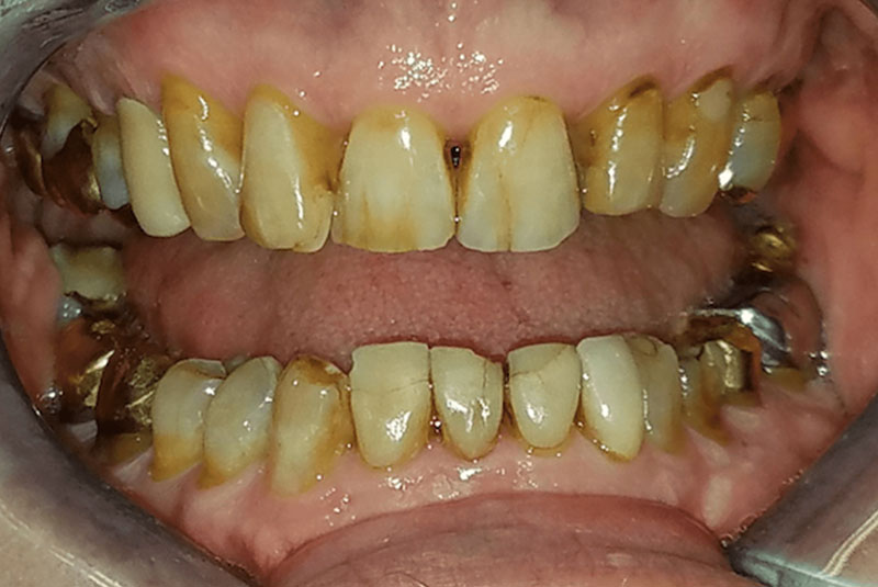
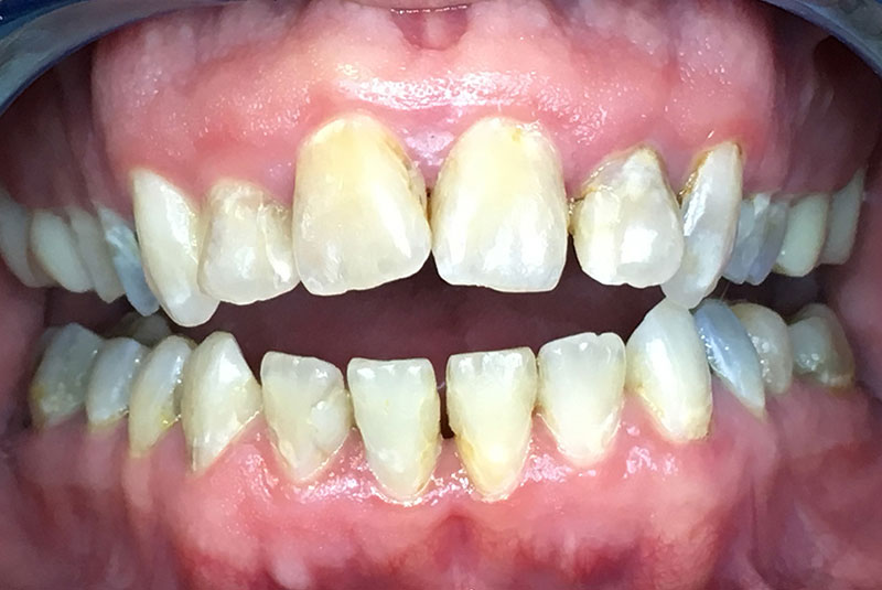
Dental implants offer various benefits beyond replacing missing teeth. From improved chewing and speech to enhanced confidence and long-term durability, they’re built to improve your quality of life.
Dr. Jeffrey Yelle received his Doctor of Dental Surgery degree from Virginia Commonwealth University and has continued to expand his expertise through advanced education and training. He is board certified by both the American Board of Integrative Medicine and Dentistry and the American Naturopathic Medical Certification Board. Dr. Yelle is also an active member of the International Association of Biological Dental Medicine (IABDM), the International Academy of Oral Medicine & Toxicology (IAOMT), and the Academy of Clinical Sleep Disorders Discipline (ACSDD).
His extensive training includes the SMART Mercury Amalgam Removal Technique through the IAOMT, the PROTECT Protocol for safe mercury removal through the IABDM, as well as LANAP® and LAPIP™ laser dentistry for treating periodontal disease and peri-implantitis. Dr. Yelle also has advanced experience in implant and aesthetic dentistry, airway-centered and sleep dentistry, and the identification and treatment of cranial facial deficiencies. Dedicated to a holistic and minimally invasive approach, Dr. Yelle’s goal is to help patients understand the root cause of their dental concerns and guide them toward lasting health and balance.
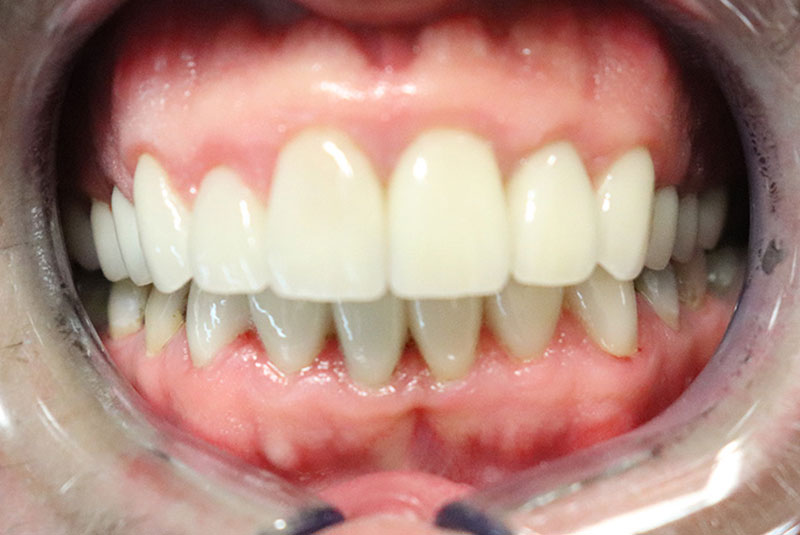
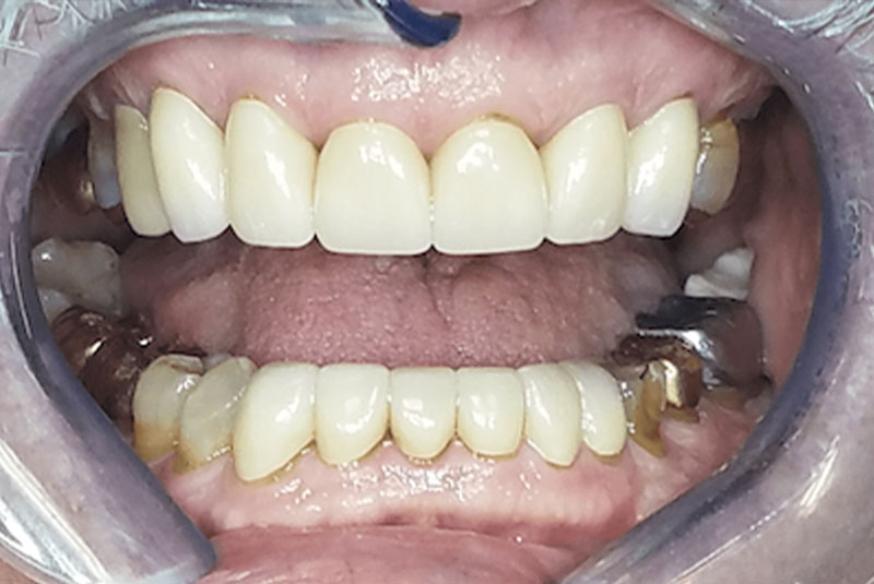
We create personalized treatment plans designed to restore the health, function, and beauty of your smile. Every detail is carefully considered, from your facial symmetry and skin tone to your lifestyle and long-term goals.
Using high-quality materials that mimic the translucency and color of natural enamel, your new teeth are crafted to look, feel, and function just like real teeth. Each restoration is uniquely designed to complement your features, match your existing teeth, and elevate your overall appearance.
In just one simple, no-obligation visit, you’ll learn:




We understand that cost is a key factor in your decision-making process. However, putting off the dental care you need, like getting full-arch dental implants, can lead to bigger problems like jawbone loss, jaw pain, and extensive, costly treatments in the future.
Full-mouth dental implants aren’t just about replacing teeth—they’re about reclaiming your confidence, comfort, and quality of life. You are investing in a lasting solution that lets you live a healthy life with a beautiful set of teeth you feel comfortable showing off.